Online Enquiry
* Required fields

X Close

For nervous patients: we have an onsite sedationist at our Balgowlah Smile Office


For patients with pain: we will see you on the same day, call us on 02 9907 9877


For patients with missing teeth: all implant treatment including surgical placement, from start to finish, will be done at our Balgowlah Smile Office


For patients with cosmetic concern: very experienced and capable dental team to provide world class dental care. Call us on 02 9907 9877


Veteran Affairs patients and eligible children with Medicare "The Child Dental Benefits Schedule" are all welcome

All-On-Four Implant Treatment

Case 1: All on 4 upper clearance

Patient upper teeth failing and could not function with his partial denture

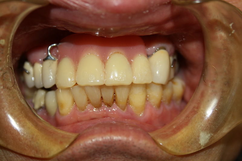
Intra oral view with denture in place

Without upper denture

Four inplants at upper arch after all teeth extracted

Zirconia bridge supported by all four implants

Intra oral view of bridge

Pleasing smile and able to masticate all food confidently

Harmonize lower face

Pleasing lateral view of face

Case 2: Lower all on 4 zirconia

 Patient lower teeth are all very loose due to gum disease. She is happy with upper full denture

 Lower full clearance followed by immediate placement of four implants

Lower Zirconia bridge supported by four implants

View of underside of bridge

Lower implants supported bridge in good bite with the upper denture

Pat claimed she could now eat steak with full confidence

Case 3: Lower all on 4

Patient is wearing upper and lower denture and all her natural teeth are in poor condition

She could not chew any hard food and her denture also fracture very frequently

Decision were made to have upper full denture and lower implants supported bridge works

Patient facial profile prior to placement of prosthesis

Patient immediately having pleasing facial profile and smile

Frontal view

Excellent stable and retentive bite with new prosthesis and  she could eat normally now